Patienten dann zur weiteren Abklärung an einen Gastroentero-
logen.“ Bei beiden chronisch entzündlichen Darmerkrankungen
kann es zudem zu Mangelerscheinungen von Spurenelementen
wie Eisen und Vitaminen, insbesondere D und B12, kommen, die
bei gesunden Menschen im Dünndarm vom Körper aufgenom-
men werden. Die chronische Entzündung vermindert eine Auf-
nahme der Spurenelemente und Vitamine, die deshalb in Form
von Tabletten oder Depotspritzen ergänzt werden müssen.
Rund 300.000 Menschen in Deutschland leiden unter Morbus
Crohn, bei rund 250.000 wurde Colitis ulcerosa diagnostiziert.
Tendenz steigend, denn die Zahl der Neuerkrankungen nimmt
zu. Männer und Frauen sind etwa gleich häufig betroffen. „Die
meisten Neuerkrankungen verzeichnen wir bei Menschen im
Altern zwischen 15 und 35 Jahren“, sagt Dr. Vogt. „Aber auch
Kleinkinder können schon erkranken und bei älteren Menschen
jenseits der 80 kann eine chronisch entzündliche Darmerkran-
kung auch noch ausbrechen.“
Viele Hypothesen und Forschungsansätze
Zu den Ursachen der beiden chronisch entzündlichen Darmer-
krankungen gibt es bislang viele Vermutungen, aber noch keine
gesicherten Erkenntnisse. Zum Beispiel über die Rolle der soge-
nannten Defensine: Verteidigen heißt im Englischen to defend.
Verteidigung ist auch die Aufgabe der Defensine in unserer
Darmschleimhaut. Die körpereigenen Antibiotika sorgen dafür,
dass Giftstoffe und Bakterien aus der Nahrung die Darmzellen
nicht beschädigen können. Eine zu dünne Schutzschicht mit zu
wenigen Defensinen halten Forscher inzwischen für eine mög-
liche Ursache dafür, dass bei einigen Menschen Teile des Darms
chronisch entzündet sind. Genetische Veränderungen werden
ebenfalls als Auslöser genannt. In manchen Familien treten
Morbus Crohn und Colitis ulcerosa gehäuft auf. „Bei einigen
Menschen scheint die Anlage für eine chronisch entzündliche
Darmerkrankung genetisch vorhanden zu sein“, erklärt Dr.
Meinikheim. „Wann und warum sie aktiviert wird, ist jedoch
nicht bekannt.“ Diskutiert werden unter anderem Virusinfekti-
onen als Startmodul. Unsere Ernährung, Medikamente, aber
auch unsere Lebensweise mit gelegentlich übertriebener Hygi-
ene sowie Umweltgifte könnten für die chronisch entzündlichen
Darmerkrankungen mitverantwortlich sein. Bewiesen ist jedoch
nichts davon.
Beide, Morbus Crohn und Colitis ulcerosa, sind chronische
Erkrankungen. Eine Heilung ist bei Morbus Crohn nicht möglich,
bei Colitis ulcerosa nur durch die komplette Entfernung des
Dickdarms. „Das heißt, die Betroffenen müssen sich, nachdem
die Diagnose feststeht, in der Regel lebenslang mit der Erkran-
kung arrangieren“, sagt Dr. Meinikheim. Dazu gehört auch der
regelmäßige Haus- und Facharztbesuch, ein bis zweimal im Jahr
und zusätzlich bei einem akuten Krankheitsschub. „Ein Spezia-
list für Magen- Darmerkrankungen, also ein Gastroenterologe,
sollte die betroffenen Patienten begleiten“, meint auch Dr. Vogt.
„Denn die Behandlung kann sehr komplex sein.“ Wichtig sei
zudem, dass die Patienten Vertrauen aufbauen zu ihrem Arzt
und auch zu den angebotenen Therapien. „Vor allem bei einem
akuten Schub sollten die Betroffenen nicht abwarten, sondern
möglichst bei den ersten Anzeichen ihren Arzt aufsuchen“,
ergänzt Dr. Meinikheim. „Mit einer raschen, effektiven Behand-
lung ist es oft möglich, den Krankheitsschub einzufangen, und
so Dauer und Auswirkungen des Schubs zu verringern.“
Da die chronisch entzündlichen Darmerkrankungen bei den ein-
zelnen Betroffenen höchst unterschiedlich verlaufen, ist in der
Regel auch eine sehr individuelle Therapie nötig. Und die Pati-
enten müssen sich auch selbst aktiv mit ihrer Erkrankung aus-
einandersetzen. Das beginnt beim Essen. „Spezielle Diäten gibt
es nicht“, so Dr. Meinikheim. „Im Laufe der Zeit lernen die Pati-
enten aber immer besser, was gut für sie ist und was nicht und
worauf sie besser ganz verzichten.“ Auch ein gutes seelisches
Gleichgewicht kann den Krankheitsverlauf positiv beeinflussen.
Andererseits können Ärger und Stress die Patienten anfälliger
machen für einen akuten Schub. Ein besonderes Thema ist das
Rauchen. Bei Morbus Crohn ist die Sache klar: Rauchen hat
negative Auswirkungen auf den Verlauf, auf mögliche Schübe
und Komplikationen der Erkrankung. Anders bei Collitis ulcerosa:
„Die Erkrankung kann unter Umständen ausbrechen, wenn
jemand mit dem Rauchen aufhört“, berichtet Dr. Meinikheim.
Medikamententherapie in
mehreren Eskalationsstufen
„Die Leitlinien der Deutsche Gesellschaft für Gastroenterologie,
Verdauungs- und Stoffwechselkrankheiten (DGVS) sehen die
Behandlung nach einem Stufenschema vor“, berichtet Dr. Vogt.
Die Leitlinien der medizinischen Fachgesellschaft geben den
Ärzten Handlungsempfehlungen für die Therapie an die Hand,
die aber immer an die individuelle Situation des Patienten ange-
passt werden. „Viele Patienten kommen mit einer minimalen
medikamentösen Therapie sehr gut aus“, so Dr. Vogt. Etwa zwei
Drittel seiner Patienten sprechen auf diese Basistherapie gut an
und sind damit gut eingestellt, schätzt Dr. Meinikheim. Meist
wird dazu der entzündungshemmende Wirkstoff Mesalazin ein-
gesetzt, als Tablette, als Granulat oder, wenn bei Colitis ulcerosa
nur der letzte Darmabschnitt betroffen ist, auch als Klysma,
Schaum oder Zäpfchen. Oft können damit die Abstände zwi-
schen den Krankheitsschüben vergrößert werden. „Bei einem
akuten Schub ist dann häufig Cortison, zunächst relativ hoch
dosiert, nötig“, so Dr. Meinikheim. Die Therapie beginnt meist
mit bis zu 50 Milligramm Prednisolon, wobei die Dosis über die
nächsten acht bis zwölf Wochen alle sieben Tage verringert wird.
8 Esslinger Gesundheitsmagazin
2 2016
>>>
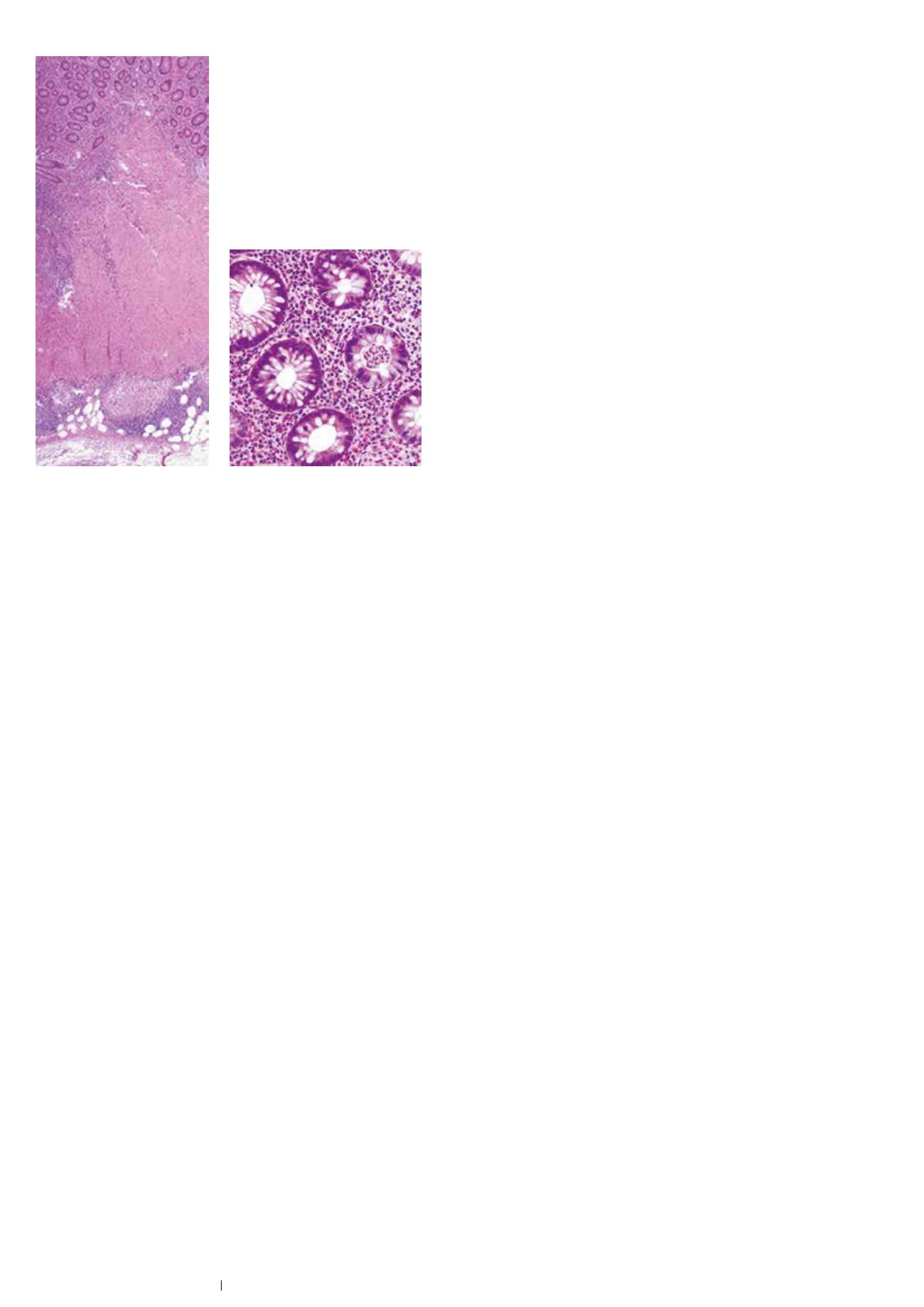
Aktives Stadium der Colitis
ulcerosa – Feingewebequerschnitt
Feingewebsschnitt,
Morbus Crohn




